Skip to main content
U.S. flag

An official website of the United States government

Here’s how you know

Dot gov

Official websites use .gov
A .gov website belongs to an official government organization in the United States.

HTTPS

Secure .gov websites use HTTPS
A lock (LockA locked padlock) or https:// means you’ve safely connected to the .gov website. Share sensitive information only on official, secure websites.

Español
NIH National Institute of Dental and Craniofacial Research (NIDCR) Home page
  • Health Info
  • Research
  • Grants & Funding
  • Careers & Training
  • News & Events
  • About Us
  • Health Info
    • Publications
    • Clinical Trials
    • Data & Statistics
    • Finding Dental Care
  • Research
    • Research Conducted at NIDCR (Intramural)
    • Conducting NIDCR Clinical Research
    • Clinical Trials
    • Data & Statistics
    • Scientific Data Sharing
    • Research Priorities
    • Research Investments & Advances
    • Oral Health in America Report
    • COVID-19
  • Grants & Funding
    • Notices of Funding Opportunities
    • Grant Programs and Contacts
    • Funding Priorities
    • Funded Research
    • Scientific Data Sharing
  • Careers & Training
    • Research Training at NIDCR (Intramural Opportunities)
    • Funding for Research Training (Extramural Opportunities)
    • Job Openings
    • Loan Repayment
    • Staff Contacts
  • News & Events
    • NIDCR News
    • Newsletter
    • Grantee News
    • Events
    • Images
    • For Reporters
  • About Us
    • Leadership & Staff
    • Advisory Committees
    • Strategic Plan
    • Oral Health in America Report
    • Congressional & Budget
    • Job Openings
    • Getting to NIDCR
    • Contact Us
    • Mission
  • Conducting NIDCR Clinical Research

Breadcrumb

  1. Home
  2. Health Info
  3. Tooth Decay
Health Info
  • Publications
  • Clinical Trials
  • Data & Statistics
  • Finding Dental Care

The Tooth Decay Process: How to Reverse It and Avoid a Cavity

On this page

  1. What's inside our mouths?
  2. What goes on inside our mouths all day?
  3. How does a cavity develop?
  4. How can we help teeth win the tug-of-war and avoid a cavity?

Information for Parents of School-Age Children

This video describes how to reverse the tooth decay process and avoid cavities and mentions NIDCR's related research.

You probably know that a dental cavity is a hole in a tooth. But did you know that a cavity is the result of the tooth decay process that happens over time? Did you know that you can interrupt and even reverse this process to avoid a cavity?

This web page explains how the tooth decay process starts and how it can be stopped or even reversed to keep your child from getting cavities.

Back to top

What's inside our mouths?

Our mouths are full of bacteria. Hundreds of different types live on our teeth, gums, tongue, and other places in our mouths. Some bacteria are helpful. But some can be harmful such as those that play a role in the tooth decay process.

Tooth decay is the result of an infection with certain types of bacteria that use sugars in food to make acids. Over time, these acids can make a cavity in the tooth.

Back to top

What goes on inside our mouths all day?

Throughout the day, a tug-of-war takes place inside our mouths.

Illustration: tug-of-war Between Bacteria and Sugars Versus Saliva and Fluoride


On one team are dental plaque―a sticky, colorless film of bacteria―plus foods and drinks that contain sugar or starch (such as milk, bread, cookies, candy, soda, juice, and many others). Whenever we eat or drink something that contains sugar or starch, the bacteria use them to produce acids. These acids begin to eat away at the tooth's hard outer surface, or enamel.

On the other team are the minerals in our saliva (such as calcium and phosphate) plus fluoride from toothpaste, water, and other sources. This team helps enamel repair itself by replacing minerals lost during an "acid attack."

Our teeth go through this natural process of losing minerals and regaining minerals all day long.

Back to top

How does a cavity develop?

A white spot indicates mineral loss, signifying early decay.
White Spots

When a tooth is exposed to acid frequently―for example, if you eat or drink often, especially foods or drinks containing sugar and starches―the repeated cycles of acid attacks cause the enamel to continue to lose minerals. A white spot may appear where minerals have been lost. This is a sign of early decay.

Tooth decay can be stopped or reversed at this point. Enamel can repair itself by using minerals from saliva, and fluoride from toothpaste or other sources.

But if the tooth decay process continues, more minerals are lost. Over time, the enamel is weakened and destroyed, forming a cavity. A cavity is permanent damage that a dentist has to repair with a filling.

Back to top

How can we help teeth win the tug-of-war and avoid a cavity?

Use fluoride

Fluoride is a mineral that can prevent tooth decay from progressing. It can even reverse or stop early tooth decay.

Fluoride works to protect teeth. It:

  • Prevents mineral loss in tooth enamel and replaces lost minerals.
  • Reduces the ability of bacteria to make acid.

You can get fluoride by:

  • Drinking fluoridated water; about 63% of Americans have access to fluoridated water. (For more information on determining fluoride levels in your tap water, see Community Water Fluoridation Frequently Asked Questions and scroll to “How do I find out the fluoride content of my tap water?”)
  • Brushing with a fluoride toothpaste.

If the dentist thinks your child needs more fluoride, he or she may:

  • Apply a fluoride gel or varnish to tooth surfaces.
  • Prescribe fluoride tablets.
  • Recommend using a fluoride mouth rinse.

About Bottled Water

Most bottled water does not contain enough fluoride to prevent tooth decay. If your child drinks only bottled water, talk with a dentist or doctor about whether your child needs additional fluoride in the form of a tablet, varnish, or gel.

Keep an eye on how often your child eats, as well as what she eats.

Your child's diet is important in preventing a cavity. Remember . . . every time we eat or drink something that contains sugar or starches, bacteria in our mouth use the sugar and starch to produce acids. These acids begin to eat away at the tooth's enamel.

Our saliva can help fight off this acid attack. But if we eat frequently throughout the day―especially foods and drinks containing sugar and starches―the repeated acid attacks will win the tug-of-war, causing the tooth to lose minerals and eventually develop a cavity.

That's why it's important to keep an eye on how often your children eat as well as what they eat.

Tooth-friendly tips:

  • Limit between-meal snacks. This reduces the number of acid attacks on teeth and gives teeth a chance to repair themselves.
  • Save candy, cookies, soda, and other sugary drinks for special occasions.
  • Limit fruit juice. Follow the Daily Juice Recommendations from the American Academy of Pediatrics.
  • Make sure your child doesn't eat or drink anything with sugar in it after bedtime tooth brushing. Saliva flow decreases during sleep. Without enough saliva, teeth are less able to repair themselves after an acid attack.

Make sure your child brushes

Brushing with fluoride toothpaste two times each day is important for preventing cavities.

Be sure to supervise young children when they brush. Here’s what you should know:

Toothbrush and Toothpaste
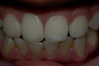
MildFluorosis.png
Mild Fluorosis
  • For children aged 3 to 6, you put the toothpaste on the brush. Use only a pea-sized amount of fluoride toothpaste. (In children under age 2, dental experts recommend that you do not use fluoride toothpaste unless a doctor or dentist tells you to.)
  • Encourage your child to spit out the toothpaste rather than swallow it. Children under 6 tend to swallow much of the toothpaste on their brush. If children regularly consume higher-than-recommended amounts of fluoride during the teeth-forming years, their permanent teeth may develop white lines or flecks called dental fluorosis. Fluorosis is usually mild; in many cases, only a dental professional would notice it.
  • If your child is younger than 6, you will need to help your child brush. Young children cannot get their teeth clean by themselves. Try brushing your child’s teeth first, then let them finish.

Talk to a dentist about sealants

Dental sealants are another good way to help avoid a cavity. Sealants are thin, plastic coatings painted onto the chewing surfaces of the back teeth, or molars. Here's why sealants are helpful: The chewing surfaces of back teeth are rough and uneven because they have small pits and grooves. Food and bacteria can get stuck in the pits and grooves and stay there a long time because toothbrush bristles can't easily brush them away. Sealants cover these surfaces and form a barrier that protects teeth and prevents food and bacteria from getting trapped there.

Since most cavities in children and adolescents develop in the molars (the back teeth), it's best to get these teeth sealed as soon as they come in:

  • The first permanent molars called, "6 year molars," come in between the ages of 5 and 7.
  • The second permanent molars, "12 year molars," come in when a child is between 11 and 14 years old.

Take your child to the dentist for regular check-ups

Visit a dentist regularly for cleanings and an examination. During the visit the dentist or hygienist will:

  • Remove dental plaque.
  • Check for any areas of early tooth decay.
  • Show you and your child how to thoroughly clean the teeth.
  • Apply a fluoride gel or varnish, if necessary.
  • Schedule your next regular check-up.

 

NIDCR would like to thank Dr. Margherita Fontana, an expert in cariology at the University of Michigan School of Dentistry, for scientific review of this material.

Back to top
Last Reviewed
January 2025
NIH
  • Home
  • Web Policies
  • Privacy
  • Contact Us
  • Freedom of Information Act
  • No Fear Act
  • Office of Inspector General
  • HHS Vulnerability Disclosure
  • Employee Intranet - Staff Only
Back to top