Skip to main content
U.S. flag

An official website of the United States government

Here’s how you know

Dot gov

Official websites use .gov
A .gov website belongs to an official government organization in the United States.

HTTPS

Secure .gov websites use HTTPS
A lock (LockA locked padlock) or https:// means you’ve safely connected to the .gov website. Share sensitive information only on official, secure websites.

 
NIH National Institute of Dental and Craniofacial Research (NIDCR) Home page
  • Health Info
  • Research
  • Grants & Funding
  • Careers & Training
  • News & Events
  • About Us
  • Health Info
    • Publications
    • Clinical Trials
    • Data & Statistics
    • Finding Dental Care
  • Research
    • Research Conducted at NIDCR (Intramural)
    • Conducting NIDCR Clinical Research
    • Clinical Trials
    • Data & Statistics
    • Scientific Data Sharing
    • Research Priorities
    • Research Investments & Advances
    • Oral Health in America Report
    • COVID-19
  • Grants & Funding
    • Notices of Funding Opportunities
    • Grant Programs and Contacts
    • Funding Priorities
    • Funded Research
    • Scientific Data Sharing
  • Careers & Training
    • Research Training at NIDCR (Intramural Opportunities)
    • Funding for Research Training (Extramural Opportunities)
    • Job Openings
    • Loan Repayment
    • Staff Contacts
  • News & Events
    • NIDCR News
    • Newsletter
    • Grantee News
    • Events
    • Images
    • For Reporters
  • About Us
    • Leadership & Staff
    • Advisory Committees
    • Strategic Plan
    • Oral Health in America Report
    • Congressional & Budget
    • Job Openings
    • Getting to NIDCR
    • Contact Us
    • Mission
  • Conducting NIDCR Clinical Research

Breadcrumb

  1. Home
  2. News & Events
  3. Newsletter
News & Events
  • NIDCR News
  • Newsletter
  • Grantee News
  • Events
  • Images
  • For Reporters

Summer 2024

In This Issue

  1. NIDCR News
  2. Training News
  3. Science Advances
  4. Grantee News
  5. NIH/HHS News
  6. Previous Issues
  7. Subscribe to NIDCR News

NIDCR News

June 5: NIH Barmes Lecture Returns with Ambassador John Nkengasong
Ambassador John Nkengasong, Ph.D.,

The Fogarty International Center and NIDCR will co-host the 2024 David E. Barmes Global Health Lecture: Global HIV/AIDS Response: Then, Now, Future, by Ambassador John Nkengasong, Ph.D., U.S. Global AIDS Coordinator and Senior Bureau Official for Global Health Security and Diplomacy. The lecture will take place on Wednesday, June 5, from 1:00-2:00 p.m. ET in the Natcher Conference Center on the NIH campus and via videocast.

Resolution Honoring NIDCR's 75th Anniversary Passed in U.S. Senate
 The United States Capitol building in Washington, DC.

With unanimous support, the U.S. Senate introduced and passed a resolution recognizing NIDCR’s 75th anniversary. The resolution recognizes the institute’s role in improving the dental, oral, and craniofacial health of the nation through research, training, and the dissemination of health information.

Recording Now Available: Sealant Implementation Webinar
A young girl happily sits in a dentist chair, smiling as she receives dental care.

In observance of National Children’s Dental Health Month, NIDCR and the American Dental Association jointly held a webinar featuring a panel discussion on the current landscape of dental sealant uptake and implementation for prevention of caries in children, particularly among those from underrepresented groups.

Nadine Samara Finds Her Calling at NIH
A diverse group of individuals posing in front of a bowling alley, ready for a fun-filled game.

In recognition of Women’s History Month, the NIH Record published a profile on NIDCR Stadtman Tenure-Track Investigator Nadine Samara, Ph.D., who studies the sugars that bacteria make and use to evade the host immune system. In the profile, she stressed the importance of making people feel safe, supported, and mentored in her lab.

Back to top

Training News

Save the Date: NIH Professional Development & Networking Workshop — September 24-25
A group of people in scrubs standing around a table, possibly discussing medical procedures or patient care.

The 2024 NIH Diversity Supplement Professional Development and Networking Workshop will take place September 24-25, bringing together scholars from NIH institutes and centers, including NIDCR. The virtual event will demystify the NIH grant process and allow scholars to meet NIH program staff, present their research, and network.

NIH To Increase Pay Levels for Pre- and Postdoctoral Scholars at Grantee Institutions
Two students in lab coats collaborating on a project in a laboratory.

NIH will increase annual pay levels for research trainees who receive the Ruth L. Kirschstein National Research Service Awards at NIH-funded external institutions. The increase applies to more than 17,000 predoctoral and postdoctoral scholars and includes additional funds for childcare and training-related expenses.

Interested in Becoming an NIDCR Trainee? Apply Now

  • NIDCR Director’s Postbaccalaureate Intramural Research Training Award Fellowship — Open until filled
  • NIDCR’s Director’s Postdoctoral Fellowship to Enhance Diversity in Dental, Oral, & Craniofacial Research — Open until filled
  • Sang-A Park Memorial Intramural Postdoctoral Fellowship — Applications due August 1
Back to top

Science Advances

Healthy Mouth, Healthy Body
Mouse brain showing hallmarks of Alzheimer’s disease (amyloid plaques in blue) with blood vessels (red) and nerve cells (green).

For the last 40 years, NIDCR has supported research on the biological links between the mouth and the rest of the body, commonly known as the “oral-systemic connection.” In that time, scientists have unveiled a multitude of connections between oral diseases such as gum disease and tooth decay, and conditions like diabetes, dementia, cardiovascular disease, preterm birth, AIDS, and cancers, among others.

Facing Cancer Head-On
A colorized scanning electron micrograph of a human oral squamous carcinoma cell, the most common form of head and neck cancer.

We need better ways to treat and prevent head and neck cancers, which often go undetected until they’re quite advanced. From cancer vaccines and tumor-killing therapies to computer algorithms that map suspicious growths in the mouth, ongoing NIDCR-supported research aims to bring better care to patients with head and neck cancer.

Gum Cells May Trigger Inflammation, Gum Disease
Cytokine IL-23 (pink/red) is barely detectible in gingival (gum) epithelial cells (above the dotted line denotes epithelium) from mice exposed to healthy mouth bacteria (left), whereas it’s highly abundant in cells from mice exposed to the kinds of mouth bacteria found in periodontal disease (right). IL-23 instigates inflammation when the mouth’s microbial communities are out of balance.

Aside from their role as a protective physical barrier, epithelial cells that line the mouth and gums may directly activate the immune system, triggering chronic inflammation that leads to gum disease. A study led by NIDCR Associate Scientific Director Niki Moutsopoulos, D.D.S., Ph.D., provides evidence that these cells may play a bigger role in disease development than previously thought.

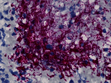
Gum Disease-Related Bacteria Tied to Colorectal Cancer
Fusobacterium nucleatum bacteria (purple) in a human colorectal cancer tumor.Fred Hutchinson Cancer Center

Scientists identified a specific subtype of Fusobacterium nucleatum — a type of bacteria implicated in gum disease — that may promote the growth of colorectal tumors. The study, which was partly funded by NIDCR, suggests that therapies targeting these bacteria in tumors could help reduce the severity of some colorectal cancers.

Topical Solution Halts Tooth Decay in Children
A dentist in a white lab coat with a child patient during a dental check-up.

A topical liquid, silver diamine fluoride (SDF), can stop tooth decay in young children, according to a clinical trial funded by NIDCR. SDF can be easily and painlessly swabbed onto cavities and could be a potential tool for improving children’s oral health.

Bone Marrow Cells Reveal Secret Weapon to Battle Bacteria
BMSCs (red and green) located near blood-producing stem cells (white) produce hepcidin The new IRP study showed for the first time that in our bone marrow, BMSCs (red and green) located near blood-producing stem cells (white) produce hepcidin.

NIH’s I am Intramural Blog recently featured the work of NIDCR Senior Investigator Eva Mezey, M.D., Ph.D., and her colleagues, who discovered that bone marrow stem cells make hepcidin, a small molecule that can kill bacteria and tame overreactive immune responses caused by inflammation.

Wrecking Cellular Recycling to Learn About Lung Cancer
A woman sitting at a desk with a recycling bin nearby, promoting eco-friendly practices.

In a SciBites video from the NIH Intramural Research Program, Maya English, a postbaccalaureate research fellow in the lab of NIDCR’s Achim Warner, Ph.D., described her research on how protein recycling goes awry in certain lung cancers. What she learns may inform treatments for diseases that arise from faulty recycling.

The Perplexing Pancreas
Image of cells in an embryonic mouse pancreas and three principal endocrine hormones: Beta cells making insulin (sky blue), alpha cells making glucagon (green), and delta cells making somatostatin (red) with the fluorescent stain DAPI shown in blue identifying nuclei.

The NIH Catalyst recently highlighted investigators, including NIDCR’s Shmuel Muallem, Ph.D., who are using multifaceted approaches to better understand pancreatic disease. Dr. Muallem’s lab is exploring how drugs approved for cystic fibrosis might be repurposed to correct dysfunctional fluid secretion in mouse models of pancreatitis and Sjögren’s disease.

Back to top

Grantee News

UM Research Discovers New Way to Generate Human Cartilage

University of Montana - April 10, 2024

Scientists Identify Key Step in How Teeth Develop in the Womb

Cedars-Sinai Medical Center - April 3, 2024
Back to top

NIH/HHS News

New Resource for NIH-Affiliated Researchers: NIH Cloud Lab
A cloud computing network with a circle and a cloud.

NIH-affiliated researchers and students can receive up to 90 days of free access to NIH Cloud Lab, a self-paced, interactive, cloud-based training program and commercial cloud service. Researchers and students can explore cloud capabilities for research and access bioinformatic tutorials and data sets in a secure, NIH-approved environment.

NIH Guidance on Marking Changes in Resubmission Application
Isometric illustration of professionalism and productivity.

Starting May 25, 2024, markups should not be used to identify changes in grant resubmission applications. Applicants should include in the Introduction attachment a summary of all substantial changes and a response to weaknesses raised by the prior review.

NIH Scientists Find Weak Points on Epstein-Barr Virus
An electron micrograph showing three Epstein-Barr virus (EBV) particles colorized pink.

By studying the interactions between lab-generated monoclonal antibodies and an Epstein-Barr virus (EBV) protein, researchers at the National Institute of Allergy and Infectious Diseases have uncovered new details that could aid treatment and vaccine development. EBV can reside in cell linings of the throat, sometimes leading to nose and throat cancer.

NIH Launches Research Network To Evaluate Cancer Screening Technologies
A medical professional using a blood pressure monitor on a male patient in a clinical setting.

The newly launched Cancer Screening Research Network will evaluate the benefits and harms of promising new technologies for cancer screening and determine how to incorporate them into the standard of care. This clinical trials network will support the Biden-Harris administration’s Cancer Moonshot program.

Researchers Optimize Genetic Tests To Tackle Health Disparities
DNA strands overlaying a world map, symbolizing worldwide genetic connections.

A recent NIH-funded study has devised new ways to improve a genetic testing method called a polygenic risk score to more accurately assess disease risk regardless of genetic ancestry. Genomic datasets used to calculate scores often overrepresent people of European ancestry, which can contribute to health disparities.

275 Million New Genetic Variants Identified
A female scientist wearing a white lab coat in a laboratory setting.

Researchers have discovered more than 275 million previously unreported genetic variants, which were identified from data shared by nearly 250,000 participants of NIH’s All of Us Research Program. These results can help scientists better understand genetic influences on health and disease, especially in communities that have been left out of research in the past.

Back to top

Previous Issues

2025
Spring 2025
2024
Winter 2024
Fall 2024
Summer 2024
Spring 2024
2023
Winter 2023
Fall 2023
Summer 2023
2022
Winter 2022
Last Reviewed
June 2024
NIH
  • Home
  • Web Policies
  • Privacy
  • Contact Us
  • Freedom of Information Act
  • No Fear Act
  • Office of Inspector General
  • HHS Vulnerability Disclosure
  • Employee Intranet - Staff Only
Back to top