Skip to main content
U.S. flag

An official website of the United States government

Here’s how you know

Dot gov

Official websites use .gov
A .gov website belongs to an official government organization in the United States.

HTTPS

Secure .gov websites use HTTPS
A lock (LockA locked padlock) or https:// means you’ve safely connected to the .gov website. Share sensitive information only on official, secure websites.

 
NIH National Institute of Dental and Craniofacial Research (NIDCR) Home page
  • Health Info
  • Research
  • Grants & Funding
  • Careers & Training
  • News & Events
  • About Us
  • Health Info
    • Publications
    • Clinical Trials
    • Data & Statistics
    • Finding Dental Care
  • Research
    • Research Conducted at NIDCR (Intramural)
    • Conducting NIDCR Clinical Research
    • Clinical Trials
    • Data & Statistics
    • Scientific Data Sharing
    • Research Priorities
    • Research Investments & Advances
    • Oral Health in America Report
    • COVID-19
  • Grants & Funding
    • Notices of Funding Opportunities
    • Grant Programs and Contacts
    • Funding Priorities
    • Funded Research
    • Scientific Data Sharing
  • Careers & Training
    • Research Training at NIDCR (Intramural Opportunities)
    • Funding for Research Training (Extramural Opportunities)
    • Job Openings
    • Loan Repayment
    • Staff Contacts
  • News & Events
    • NIDCR News
    • Newsletter
    • Grantee News
    • Events
    • Images
    • For Reporters
  • About Us
    • Leadership & Staff
    • Advisory Committees
    • Strategic Plan
    • Oral Health in America Report
    • Congressional & Budget
    • Job Openings
    • Getting to NIDCR
    • Contact Us
    • Mission
  • Conducting NIDCR Clinical Research

Breadcrumb

  1. Home
  2. News & Events
  3. NIDCR News
  4. NIDCR News 2022
News & Events
  • NIDCR News
  • Newsletter
  • Grantee News
  • Events
  • Images
  • For Reporters
NIDCR EMAIL UPDATES 
Subscribe to receive NIDCR emails

The Gut’s Role in Oral Bone Health

Gut bacteria trigger loss of tooth-supporting bone in mice

April 12, 2022

In Brief:

  • Researchers from the Medical University of South Carolina showed that certain gut bacteria trigger an immune response that leads to loss of the bone that anchors the teeth, akin to the bone loss that can result from periodontal (gum) disease.
  • The findings point to a role for gut microbes in oral health and suggest that treatments to adjust the composition of gut bacteria could help prevent oral bone loss.

Our mouths are home to billions of microbes, including bacteria, fungi, viruses, and other microorganisms. These tiny tenants, collectively called the oral microbiota, are vital to our oral health, which depends on a delicate balance between harmful and helpful microbes. Disruption of this balance can lead to inflammation-related oral infections such as periodontal (gum) disease, which can cause loss of alveolar bone that supports and anchors the teeth. But the microbes in our mouths may not be the only ones to blame for alveolar bone loss.

Chad Novince (left), Jessica Hathaway-Schrader (right), and colleagues reported that certain bacteria in the gut can contribute to bone loss in the mouth associated with periodontal disease.
Chad Novince (left), Jessica Hathaway-Schrader (right), and colleagues reported that certain bacteria in the gut can contribute to bone loss in the mouth associated with periodontal disease. | MUSC

It turns out, specific bacteria in the gut (digestive tract) also appear to play a role in maintaining alveolar bone, according to a recent NIDCR-supported study published in Laboratory Investigation. The findings show that bacteria in the gut kick immune cells into gear, which in turn release a series of molecules that prompt alveolar bone loss. The study challenges previous notions that bone loss in the mouth is regulated solely by oral microbes. It also opens the possibility that noninvasive interventions to modulate gut bacteria, such as changing one’s diet or taking probiotics, could support oral health.

"It's well known that shifts in the oral microbiota can induce inflammatory immune responses that cause bone destruction,” says Chad Novince, DDS, PhD, the study’s senior author and associate professor at the Medical University of South Carolina (MUSC). “But nobody had asked the question, ‘Could commensal gut microbes also have an impact on the health of alveolar bone?’”

To find out, the team narrowed in on one type of gut microbe called segmented filamentous bacteria (SFB). The thread-like bacteria are often found clinging to the intestinal walls of animals and humans, but not the mouth. The researchers planted SFB into the guts of young mice that had been raised germ-free—meaning their bodies contained no microorganisms—to pinpoint its effects. After six weeks, the germ-free mice implanted with SFB had overactivated immune cells, larger-sized bone-degrading cells in alveolar bone marrow, and loss of bone surrounding the teeth.

Together, bone-degrading cells (osteoclasts) and bone-generating cells (osteoblasts) carefully balance skeletal health. Shifts in their activity or miscommunication between them can tilt the scale toward the type of bone loss that the MUSC researchers saw in mice.

Further experiments showed how this happens. SFB appeared to trigger the release of a high quantity of immune molecules in the gut that enter the body’s circulation, ultimately setting off an immune response in bone marrow, including alveolar bone marrow. The researchers found that this resulted in the release of an immune molecule called tumor necrosis factor, which disrupts the regular communication between bone-generating and bone-degrading cells in alveolar bone marrow, ultimately leading to bone loss.

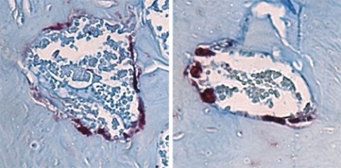
Bone-degrading cells (maroon) in the jawbone marrow of mice lacking microbes (left) are smaller in size than those from mice with a single type of gut microbe (right) that is associated with bone loss from the jaw.
Bone-degrading cells (maroon) in the jawbone marrow of mice lacking microbes (left) are smaller in size than those from mice with a single type of gut microbe (right) that is associated with bone loss from the jaw. | Novince Lab

“It’s a fascinating discovery to me,” says Novince. “Our study is one of the first that is beginning to define the mechanisms of how the gut microbiota can modulate aspects of systemic immunity, and ultimately distant skeletal sites, including the alveolar bone, or jawbone.”

Novince and the team plan to determine how other microbial populations from various body sites might drive changes in alveolar bone. They hope to gain a better understanding of how microbes, the immune system, and the skeletal system interact to shift the balance between health and disease.

The current study’s findings may help explain why some patients with inflammatory bowel conditions, such as Crohn’s disease and irritable bowel syndrome, where organisms like SFB flourish, develop periodontal disease-related bone loss. The results add to evidence from previous studies that suggest probiotics could be used to fine-tune the composition of gut microbes to help prevent alveolar bone loss from severe gum disease.

“We’re not able to say there’s a cause and effect, but it supports the idea of a correlation between periodontal health and inflammatory bowel conditions,” says first author Jessica Hathaway-Schrader, PhD, a postdoctoral fellow at MUSC. “It implies that the gut microbiome does play a role in providing health and homeostasis for the oral cavity.”

Related Links

  • Tooth Protein Prevents Bone Loss in Mice
  • Disarming a Blood-Clotting Protein Prevents Gum Disease in Mice

Reference

Commensal gut bacterium critically regulates alveolar bone homeostasis. Hathaway-Schrader JD, Carson MD, Gerasco JE, Warner AJ, Swanson BA, Aguirre JI, Westwater C, Liu B, Novince CM. Lab Invest. 2021 Dec 21. doi: 10.1038/s41374-021-00697-0. Epub ahead of print. PMID: 34934182.

NIH Support: In addition to NIDCR, support for this research came from the National Institute of Diabetes and Digestive and Kidney Diseases and the National Institute of General Medical Sciences.

Attention Editors

Reprint this article in your own publication or post to your website. NIDCR News articles are not copyrighted. Please acknowledge NIH's National Institute of Dental and Craniofacial Research as the source.

Subscribe for NIDCR Updates

Receive email updates about the latest advances in dental, oral, and craniofacial research.

Subscribe

Last Reviewed
November 2024

Previous Years' News

2025 | 2024 | 2023 | 2022 | 2021

 

NIH
  • Home
  • Web Policies
  • Privacy
  • Contact Us
  • Freedom of Information Act
  • No Fear Act
  • Office of Inspector General
  • HHS Vulnerability Disclosure
  • Employee Intranet - Staff Only
Back to top