Skip to main content
U.S. flag

An official website of the United States government

Here’s how you know

Dot gov

Official websites use .gov
A .gov website belongs to an official government organization in the United States.

HTTPS

Secure .gov websites use HTTPS
A lock (LockA locked padlock) or https:// means you’ve safely connected to the .gov website. Share sensitive information only on official, secure websites.

 
NIH National Institute of Dental and Craniofacial Research (NIDCR) Home page
  • Health Info
  • Research
  • Grants & Funding
  • Careers & Training
  • News & Events
  • About Us
  • Health Info
    • Publications
    • Clinical Trials
    • Data & Statistics
    • Finding Dental Care
  • Research
    • Research Conducted at NIDCR (Intramural)
    • Conducting NIDCR Clinical Research
    • Clinical Trials
    • Data & Statistics
    • Scientific Data Sharing
    • Research Priorities
    • Research Investments & Advances
    • Oral Health in America Report
  • Grants & Funding
    • Notices of Funding Opportunities
    • Grant Programs and Contacts
    • Funding Priorities
    • Funded Research
    • Scientific Data Sharing
  • Careers & Training
    • Research Training at NIDCR (Intramural Opportunities)
    • Funding for Research Training (Extramural Opportunities)
    • Job Openings
    • Loan Repayment
    • Staff Contacts
  • News & Events
    • NIDCR News
    • Newsletter
    • Grantee News
    • Events
    • Images
    • For Reporters
  • About Us
    • Leadership & Staff
    • Advisory Committees
    • Strategic Plan
    • Oral Health in America Report
    • Congressional & Budget
    • Job Openings
    • Getting to NIDCR
    • Contact Us
    • Mission
  • Conducting NIDCR Clinical Research
  1. Home
  2. News & Events
News & Events
  • NIDCR News
  • Newsletter
  • Grantee News
  • Events
  • Images
  • For Reporters

NIDCR Digital Library

The NIDCR Digital Library provides images that are free to use with credit. Images are meant for use by the science and health community, the press that covers health and science, teachers and other educators in health and science, and non-profit organizations that produce health and science information. It is not intended for commercial use.
 

Displaying 11 - 20 of 42

Media ID#: 22741

Developmental markers in healthy skeleton

Healthy development of cells.
Download

Healthy development of cells.
Click to view
ID#: 22741
Developmental markers in healthy skeleton

Researchers have discovered a new genetic disorder named LINKED. Compared to a disease-free individual (shown above), differentiated LINKED patient cells lack markers of normal development of the brain, spinal cord and craniofacial skeleton (pink, green, & yellow). 

Asset type: Scientific Image
File size: 210.31 KB
File type: image/jpeg

Werner lab, NIDCR

Download

Media ID#: 22746

Salivary gland diversity starts early

An embryonic mouse submandibular glands and parotid glands.
Download

An embryonic mouse submandibular glands and parotid glands.
Click to view
ID#: 22746
Salivary gland diversity starts early

NIDCR scientists Rei Sekiguchi, DDS, PhD, Ken Yamada, PhD, and colleagues found striking differences in muscle- and nerve-related gene activity, or expression, in embryonic mouse submandibular glands (above left) and parotid glands (above right). 

Asset type: Scientific Image
File size: 836.92 KB
File type: image/jpeg

Rei Sekiguchi, NIDCR

Download

Media ID#: 22751

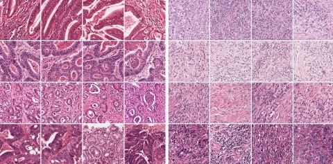
Exploring AI for cancer diagnosis

A collage of tumor tissues.
Download

A collage of tumor tissues.
Click to view
ID#: 22751
Exploring AI for cancer diagnosis

By detecting different visual patterns in tumor images, the deep learning program accurately predicted the presence or absence of molecular alterations, such as the mutated AMER1 gene, which is present in the gastric tumor images on the left but not the right.

Asset type: Scientific Image
File size: 6.55 MB
File type: image/jpeg

Jakob Nikolas Kather

Download

Media ID#: 22756

3D salivary spheroids release amylase upon stimulation

Salivary spheroids release amylase.
Download

Salivary spheroids release amylase.
Click to view
ID#: 22756
3D salivary spheroids release amylase upon stimulation

Salivary gland spheroids in hydrogels release amylase, an enzyme found in saliva, upon stimulation with neurotransmitters agonists.

Asset type: Scientific Image
File size: 2 MB
File type: image/jpeg

Swadi Pradhan-Bhatt

Download

Media ID#: 22761

Injectable tumor cell infused anti-cancer cryogel vaccine

Cancerous melanoma cells.
Download

Cancerous melanoma cells.
Click to view
ID#: 22761
Injectable tumor cell infused anti-cancer cryogel vaccine

Cancerous melanoma cells, shown with their cell bodies (green) and nuclei (blue), are nestled in tiny hollow lumens (tubes) within the cryogel (red) structure.

Asset type: Scientific Image
File size: 10.1 MB
File type: image/png

Sidi A. Bencherif, Thomas Ferrante / Wyss Institute at Harvard University

Download

Media ID#: 22766

Stem cells in 3D hydrogel

Scanning electron micrograph of mesenchymal stem cells cultured in an alginate hydrogel.
Download

Scanning electron micrograph of mesenchymal stem cells cultured in an alginate hydrogel.
Click to view
ID#: 22766
Stem cells in 3D hydrogel

Scanning electron micrograph of mesenchymal stem cells cultured in an alginate hydrogel. The colors show the elemental composition of the sample: magenta represents phosphorus from the minerals deposited by the differentiated cells, and blue represents carbon from the hydrogel.

Asset type: Scientific Image
File size: 7.5 MB
File type: image/jpeg

Luo Gu, James Weaver, and David J Mooney, Harvard University

Download

Media ID#: 22771

Embryonic submandibular salivary gland

Embryonic submandibular salivary gland.
Download

Embryonic submandibular salivary gland.
Click to view
ID#: 22771
Embryonic submandibular salivary gland

A single-bud submandibular salivary gland from a mouse embryo. The image shows epithelial cell-cell junctions (blue-green) and O-glycosylated proteins (red).

Asset type: Scientific Image
File size: 284.93 KB
File type: image/jpeg

Ten-Hagen lab, NIDCR

Download

Media ID#: 22776

Blind cavefish neuromasts

A live-stained cave-dwelling fish
Download

A live-stained cave-dwelling fish
Click to view
ID#: 22776
Blind cavefish neuromasts

Cave-dwelling fish demonstrate frequent fragmentation of facial dermal bones. One bone is labeled beneath the eye (light blue). Cellular interactions between sensory neuromasts (labeled as orange “dots”) and the bone primordia are providing clues for scientists to understand why.

Asset type: Scientific Image
File size: 1.38 MB
File type: image/jpeg

Joshua Gross, Ph.D and Mandy Powers, University of Cincinnati

Download

Media ID#: 22781

Peekaboo

Human parotid glands
Download

Human parotid glands
Click to view
ID#: 22781
Peekaboo

A face appears when basement membrane patterns collagen IV (green) are studied in human parotid tissue where cell nuclei (white) and filamentous actin (blue) highlight the ducts and blood vessels. 

Asset type: Scientific Image
File size: 1.76 MB
File type: image/png

Danielle Wu, Farach-Carson Lab at Rice University

Download

Media ID#: 22786

It's a small world

Human salivary stem cells cultured from parotid glands
Download

Human salivary stem cells cultured from parotid glands
Click to view
ID#: 22786
It's a small world

hS/PCs form three-dimensional multicellular structures (nuclei in blue) that dynamically organize and mature into coordinated units that respond to neurotransmitters (filamentous actin in green). Organization of these cells into functional secretory units is a critical for dry mouth.

Asset type: Scientific Image
File size: 1.86 MB
File type: image/png

Danielle Wu, Farach-Carson Lab at Rice University

Download
  • Go to first pageFirst
  • Go to previous pagePrevious
  • Page 1
  • Currently on page 2
  • Page 3
  • Page 4
  • Page 5
  • Go to next pageNext
  • Go to last pageLast
NIH
  • Home
  • Web Policies
  • Privacy
  • Contact Us
  • Freedom of Information Act
  • No Fear Act
  • Office of Inspector General
  • HHS Vulnerability Disclosure
  • Employee Intranet - Staff Only
Visit the NIH X page Visit the NIH LinkedIn page Visit our YouTube channel Visit Flickr channel
Back to top