Skip to main content
U.S. flag

An official website of the United States government

Here’s how you know

Dot gov

Official websites use .gov
A .gov website belongs to an official government organization in the United States.

HTTPS

Secure .gov websites use HTTPS
A lock (LockA locked padlock) or https:// means you’ve safely connected to the .gov website. Share sensitive information only on official, secure websites.

 
NIH National Institute of Dental and Craniofacial Research (NIDCR) Home page
  • Health Info
  • Research
  • Grants & Funding
  • Careers & Training
  • News & Events
  • About Us
  • Health Info
    • Publications
    • Clinical Trials
    • Data & Statistics
    • Finding Dental Care
  • Research
    • Research Conducted at NIDCR (Intramural)
    • Conducting NIDCR Clinical Research
    • Clinical Trials
    • Data & Statistics
    • Scientific Data Sharing
    • Research Priorities
    • Research Investments & Advances
    • Oral Health in America Report
    • COVID-19
  • Grants & Funding
    • Notices of Funding Opportunities
    • Grant Programs and Contacts
    • Funding Priorities
    • Funded Research
    • Scientific Data Sharing
  • Careers & Training
    • Research Training at NIDCR (Intramural Opportunities)
    • Funding for Research Training (Extramural Opportunities)
    • Job Openings
    • Loan Repayment
    • Staff Contacts
  • News & Events
    • NIDCR News
    • Newsletter
    • Grantee News
    • Events
    • Images
    • For Reporters
  • About Us
    • Leadership & Staff
    • Advisory Committees
    • Strategic Plan
    • Oral Health in America Report
    • Congressional & Budget
    • Job Openings
    • Getting to NIDCR
    • Contact Us
    • Mission
  • Conducting NIDCR Clinical Research

Breadcrumb

  1. Home
  2. News & Events
  3. Newsletter
News & Events
  • NIDCR News
  • Newsletter
  • Grantee News
  • Events
  • Images
  • For Reporters

Summer 2021

In This Issue

  1. NIDCR News
  2. Science Advances
  3. Grantee News
  4. NIH/HHS News
  5. Funding Opportunities & Notices
  6. Previous Issues
  7. Subscribe to NIDCR News

NIDCR News

NIDCR to Release Report on Oral Health in America
Doctor performing a dental procedure on a patient

As a 20-year follow-up to the seminal Oral Health in America: A Report of the Surgeon General, NIDCR will release Oral Health in America: Advances and Challenges in the fall of 2021. The report will illuminate new directions in the prevention and treatment of oral disease, identify disparities and inequalities in oral health care, and propose innovative strategies for ensuring the public shares equally in the benefits of oral health. Details about key findings and highlighted data can be found on a forthcoming website and related publications.

IADR/AADR/CADR Virtual Annual Meeting
IADR/AADR/CADR

NIDCR leadership, program staff, investigators, and trainees will be joining the virtual 2021 IADR/AADR/CADR General Session from July 21 to 24, including pre-meeting activities July 15 and 16. Attendees are welcome to visit NIDCR’s virtual booth to get information about research and training programs and to sign up for one-on-one consultations with NIDCR program officers. To learn more about NIDCR-sponsored symposia and other events, access the schedule on NIDCR’s website or follow @NIDCR on Twitter.

NIDCR Publishes Congressional Justification FY 2022
NIDCR Congressional Justification

NIDCR’s congressional justification provides the Senate and House Appropriations Committees with detailed budget estimates, an overview of NIDCR accomplishments, highlights of select scientific research programs, and justification for research and research-support activities.

A Look Back at NIDCR’s Response to the COVID-19 Pandemic
Woman wearing a face mask outside

In a perspective piece published in The Journal of Dental Research, NIDCR leadership outlines the institute’s efforts to pivot resources toward COVID-19 research while supporting the physical and mental well-being of NIDCR staff. Ongoing studies are examining ways to protect practitioners and patients in dental settings, prevent SARS-CoV-2 transmission, improve detection and diagnosis of COVID-19, and understand disease progression. In an editorial published in The Journal of The American Dental Association, NIDCR Director Rena D’Souza, DDS, MS, PhD, and Lillian Shum, PhD, director of NIDCR’s Division of Extramural Research, note that this pandemic will better prepare us for future viral outbreaks, and resulting scientific developments could help researchers better understand certain dental, oral, and craniofacial conditions.

NIH & NIDCR Prioritize HIV-Related Stigma Research
HIV ribbon

Staff from NIDCR and 13 other NIH institutes and offices contributed to a paper in the journal AIDS and Behavior outlining NIH’s HIV-related stigma research priorities. NIDCR is dedicated to supporting research on strategies to ensure people living with HIV/AIDS may seek dental care without concerns about stigma or discrimination, echoing an NIH-wide effort.

NIDCR Director Joins Conversation with AAPI Leaders
NIDCR Director Joins Conversation with AAPI Leaders

On May 4, Dr. D’Souza joined Noni Byrnes, PhD, director of the Center for Scientific Review, and Michael Chiang, MD, director of the National Eye Institute, at a virtual leadership discussion in celebration of the 2021 Asian Americans and Pacific Islanders (AAPI) heritage month. During the panel discussion, these AAPI leaders shared their insights, leadership tips, and visions for the future for empowering the next generation of leaders in public health.

NIDCR Seeks Research Applications on Addressing Oral Health Disparities
Dr. Janice Lee is advising a patient

To understand how social determinants can contribute to oral health disparities in minority groups, NIDCR is introducing two new funding opportunities. The grants aim to address the impact of structural racism and discrimination on health and to reduce oral health disparities. Application deadlines are July 8, July 26, and August 24.

Job Openings
Photo of male African-American researcher in lab

NIDCR is seeking outstanding applicants for the position of director for the Division of Extramural Activities to provide leadership and advice in developing, implementing, and coordinating the institute’s extramural programs and policies; application deadline is July 7. NIDCR also has a new opening for a postdoctoral research position in the Craniofacial Anomalies and Regeneration Section. Learn more on NIDCR’s job openings page.

Back to top

Science Advances

A Census Inside Your Mouth
Oral Mucosa Cells

NIDCR scientists catalogued 120,000 oral mucosa cells by type and function, revealing a role for connective tissue cells in orchestrating immune responses linked to gum disease. The cell atlas is designed to serve as a detailed community resource to help researchers answer key questions about oral biology and disease.

When a New Immune System Attacks
Jacqueline Mays, DDS, MHSc, PhD

NIDCR Lasker Clinical Research Scholar Jacqueline Mays, DDS, MHSc, PhD, is unravelling why bone marrow or blood stem cell transplant patients’ new immune systems sometimes attack the mouth, a condition called chronic oral graft-versus-host disease. Patients with the condition often have oral ulcers, difficulty opening their mouths, and salivary gland damage that makes eating and oral care difficult. Her findings may help scientists find better treatments and diagnostic tools and even offer insights to how the body responds to coronavirus infection.

A Four-Decade Quest to Uncover a Unique Molecule’s Secret
Myung Hee Park, PhD

Biochemist Myung Hee Park, PhD, reflects on her 42-year career at NIDCR, where she pioneered research on a new molecular pathway vital for nearly all life. Her work opened a new field of research that could shed light on new approaches to treat certain cancers and neurodevelopmental disorders. Park retired on June 30 and will continue to serve as a special volunteer at the NIH, providing her expertise to collaborators.

The Creatures Crawling Within
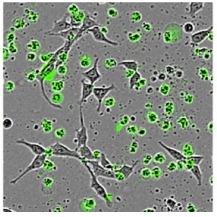
Microscopic view of fibroblasts

NIDCR scientists captured video of a human fibroblast cell creeping and crawling through a web of proteins, demonstrating a “front wheel drive” mechanism to migrate through the body—a method distinct from cancer cells. The findings, published in Developmental Cell, could shed light on ways to thwart the invasion and spread of cancers, including those of the head and neck.

Brain Patrol
Eva Mezey, MD, PhD, Dsc

NIDCR researcher Eva Mezey, MD, PhD, Dsc, and colleagues demonstrated the presence of lymphatic vessel cells and immune cells throughout the brains of humans, suggesting our immune systems may be policing our brains. Their findings point to the existence of a lymphatic network that acts as a waste drainage system for the brain and may serve as a bidirectional conduit between the brain and immune system.

MINDing the Gap: From Trainee to Tenure Track
Modupe Coker, DDS, PhD

Early-stage researchers shared their experiences in an NIDCR-supported program led by the American Association for Dental Research to provide one-on-one mentoring and career-related training to individuals from diverse backgrounds. Called Mentoring an Inclusive Network of a Diverse Workforce of the Future (MIND the Future), the year-long program is designed to support scientists in the transition to research independence and enhance the diversity of the dental, oral, and craniofacial research workforce.

Cracking Down on a Rare Bone Disorder
Dr. Allison Boyce treating a patient

NIDCR Lasker Clinical Research Scholar Alison Boyce, MD, is searching for treatments for fibrous dysplasia/McCune-Albright syndrome (FD/MAS), a rare disease of the bones, endocrine system, and skin, which can impair quality of life. She leads the FD/MAS natural history study at NIH, characterizing patients’ signs and symptoms to understand disease progression. In an ongoing clinical trial, her team is investigating the safety and effectiveness of potential therapeutics in adults with bone manifestations of FD/MAS.

Back to top

Grantee News

Study Supports Gene Therapy as a Promising Treatment for Soft Bone Disease

Sanford Burnham Prebys - June 7, 2021

Head and Neck Cancer Cells Hijack nearby Healthy Tissue, Promoting further Invasion of Cancer Cells

University of Michigan - May 26, 2021

New Wiki on Salivary Proteins May Transform Diagnostic Testing and Personalized Medicine

University at Buffalo - May 25, 2021

A Gentler Strategy for Avoiding Childhood Dental Decay

University of Pennsylvania - May 18, 2021

Skin and Bones Repaired by Bioprinting during Surgery

Pennsylvania State University - April 26, 2021

CU Dental Researchers Make Craniofacial Gene Discovery

University of Colorado - April 19, 2021

International Team Identifies Genetic Link between Face and Brain Shape

KU Leuven - April 5, 2021
Back to top

NIH/HHS News

NIH to Invest $29 Million to Address COVID-19 Disparities
Group of people

To bolster research to help communities disproportionately affected by COVID-19, NIH is funding $29 million in additional grants for the NIH Community Engagement Alliance Against COVID-19 Disparities. The awards will help strengthen COVID-19 vaccine confidence, access, testing, and treatment in communities of color, as well as extend the reach of COVID-19 community-engaged research and outreach. The NIH-wide effort is led by the National Institute on Minority Health and Health Disparities and the National Heart, Lung, and Blood Institute.

NIH Seeks to Understand “Long COVID”
COVID-19

In April, NIH Director Francis S. Collins, MD, PhD, testified before the House Energy and Commerce Health Subcommittee regarding NIH’s plans to study “long COVID”—a constellation of symptoms that persist in patients after initial SARS-CoV-2 infection. Since Congress appropriated $1.15 billion for this work in December 2020, NIH has been working to design a fast, flexible, and comprehensive research initiative. NIH experts also recently published a paper in the Annals of Internal Medicine that outlines what is known about long COVID and the knowledge gaps that need to be addressed in future research.

NIH Director Testifies Before Senate
Dr. Francis Collins

Dr. Collins and several NIH leaders appeared before the Senate Appropriation Subcommittee on Labor, HHS, Education, and Related Agencies to discuss the fiscal year 2022 NIH budget request. Dr. Collins stated that the proposed $51 billion budget will continue to fund research addressing the impact of the pandemic and tackle some of our nation’s most persistent health challenges, including health disparities, maternal mortality, mental health, and opioid use disorder. In addition, the 2022 budget proposes to establish the Advanced Research Projects Agency for Health (ARPA-H), which is designed to tackle bold challenges through a non-traditional and nimble approach to high risk research.

Congressional Visit to NIH
Congressional visit to NIH

On May 17, NIH welcomed back members of Congress to campus, where a group of US senators toured the Vaccine Research Center, heard about the RADx pipeline of new COVID-19 testing technologies, and learned of emerging research on the effects of the pandemic on mental health.

Scientists Identify Small-Molecule Cocktail to Improve Stem Cell Use
Small-Molecule Cocktail

Researchers at the National Center for Advancing Translational Sciences (NCATS) have devised a four-component small-molecule cocktail that can protect stem cells called induced pluripotent stem cells from stress and help them maintain normal structure and function. The researchers showed that the cocktail can improve stem cell survival and quality, enhancing their potential for future use in therapeutic applications and in research, including genome editing.

Marie Bernard Named Chief Officer for Scientific Workforce Diversity
Dr. Marie A. Bernard

Dr. Collins selected Marie A. Bernard, MD, as NIH’s chief officer for scientific workforce diversity (COSWD) after a nationwide search. A geriatrician, Bernard has served as deputy director of the National Institute on Aging since October 2008 and the acting COSWD since October 2020. She has had a leadership role in several NIH initiatives to enhance diversity, including the recently launched UNITE initiative, an effort to end structural racism in biomedical research.

Director of NCATS Departs
Dr. Christopher P. Austin

After nearly a decade of leadership as the founding director of NCATS, Christopher P. Austin, MD, departed NIH to join a life sciences platforms company in Cambridge, Massachusetts, as CEO-partner. Austin led NCATS in developing new approaches that speed therapeutic development for all diseases. Following Austin’s departure, NCATS deputy director Joni Rutter, PhD, stepped in as acting director while a nationwide search for a new director takes place.

Senate Confirms Eric Lander as White House OSTP Director
Dr. Eric Lander

Eric Lander, PhD, was confirmed as the 11th director of the White House Office of Science and Technology Policy by the US Senate on May 8. Lander will also serve as the President’s science advisor. Prior to joining the White House, Lander served as the founding director of the Broad Institute of the Massachusetts Institute of Technology and Harvard University and was one of the principal leaders of the Human Genome Project. He received his bachelor’s degree from Princeton University and his PhD from Oxford University, UK.

Back to top
Funding Opportunities & Related Notices
Title Opportunity number Extramural Scientific Topics Release Date Expiration Date
NIH Directors Transformative Research Awards (R01 Clinical Trial Optional)
RFA-RM-21-017
  • Common Fund Programs
06/04/2021
09/02/2021
Academic Research Enhancement Award for Undergraduate-Focused Institutions (R15 Clinical Trial Not Allowed)
PAR-21-155
  • Parent Announcements & Trans-NIH Announcements
05/19/2021
05/08/2024
NIH Directors New Innovator Award Program (DP2 Clinical Trial Optional)
RFA-RM-21-016
  • Common Fund Programs
05/20/2021
08/20/2021
Addressing Social Determinants of Health to Eliminate Oral Health Disparities (UG3/UH3 Clinical Trials Optional)
RFA-DE-22-002
  • Oral Health Disparities Research
04/29/2021
07/27/2021
Blueprint Neurotherapeutics Network (BPN): Biologic-based Drug Discovery and Development for Disorders of the Nervous System (U44 Clinical Trial Optional)
PAR-21-233
  • Orofacial Pain, Temporomandibular Joint Disorder & Neurobiology
  • Small Business (SBIR/STTR)
04/23/2021
04/06/2024
NIH Blueprint and BRAIN Initiative Diversity Specialized Predoctoral to Postdoctoral Advancement in Neuroscience (D-SPAN) Award (F99/K00 Clinical Trial Not Allowed)
RFA-NS-21-012
  • Career Development
  • Research Training & Fellowships
04/21/2021
12/16/2023
Emergency Awards: Community-engaged COVID-19 Testing Interventions among Underserved and Vulnerable Populations RADx-UP Phase II (U01 Clinical Trial Optional)
RFA-OD-21-008
  • Behavioral & Social Science
  • COVID-19
  • Oral Health Disparities Research
  • Parent Announcements & Trans-NIH Announcements
04/13/2021
07/08/2021
Emergency Award: RADx-UP - Social, Ethical, and Behavioral Implications (SEBI) Research on Disparities in COVID-19 Testing among Underserved and Vulnerable Populations (U01 Clinical Trials Optional)
RFA-OD-21-009
  • Behavioral & Social Science
  • COVID-19
  • Oral Health Disparities Research
  • Parent Announcements & Trans-NIH Announcements
04/13/2021
07/08/2021
NIH Directors Pioneer Award Program (DP1 Clinical Trial Optional)
RFA-RM-21-015
  • Common Fund Programs
04/06/2021
09/10/2021
Cutting Edge Informatics Tools for Illuminating the Druggable Genome (U01 Clinical Trial Not Allowed)
RFA-RM-21-020
  • Gene Discovery, Genomics & Multi-Omics Analysis
04/02/2021
07/16/2021
NIDCR Behavioral and Social Intervention Clinical Trial Planning and Implementation Cooperative Agreement (UG3/UH3 Clinical Trial Required)
PAR-21-197
  • Behavioral & Social Science
  • Oral Health Disparities Research
04/02/2021
05/08/2024
Pilot Projects Investigating Understudied G Protein-Coupled Receptors, Ion Channels, and Protein Kinases (R03 Clinical Trial Not Allowed)
RFA-RM-21-012
  • Common Fund Programs
04/01/2021
07/16/2021
Accelerating Medicines Partnership Autoimmune and Immune-Mediated Diseases: Technology and Analytic Cores (TACs) and Research Management Unit (RMU) (UC2 Clinical Trial Not Allowed)
RFA-AR-21-016
  • Oral Immunology, Immunopathology & Immunotherapy
03/31/2021
07/16/2021
Accelerating Medicines Partnership Autoimmune and Immune-Mediated Diseases: Disease Teams for Rheumatoid Arthritis, Lupus, Psoriatic Spectrum Diseases, and Sjgrens Syndrome (UC2 Clinical Trial Optional)
RFA-AR-21-015
  • Oral Immunology, Immunopathology & Immunotherapy
03/31/2021
07/16/2021
Understanding and Addressing the Impact of Structural Racism and Discrimination on Minority Health and Health Disparities (R01 Clinical Trial Optional)
RFA-MD-21-004
  • Oral Health Disparities Research
03/23/2021
08/25/2021
Notice of Intent to Publish a Funding Opportunity Announcement for SPARC Human Open Research Neural Engineering Technology (HORNET) Initiative (U41 Clinical Trial Optional)
NOT-RM-21-023
  • Common Fund Programs
  • Orofacial Pain, Temporomandibular Joint Disorder & Neurobiology
05/26/2021
08/13/2021
Notice Announcing Data Generation Projects for the NIH Bridge to Artificial Intelligence (Bridge2AI) Program (OT2) Other Transaction Opportunity Announcement
NOT-RM-21-029
  • Bioinformatics, Computational Biology & Data Science
  • Common Fund Programs
05/26/2021
08/20/2021
Notice of Intent to Publish a Funding Opportunity Announcement for Blueprint Medtech: Small Business Translator (U44)
NOT-DA-22-050
  • Orofacial Pain, Temporomandibular Joint Disorder & Neurobiology
  • Small Business (SBIR/STTR)
05/14/2021
01/01/2027
RESCINDED - Notice of Intent to Publish a Funding Opportunity Announcement for Blueprint MedTech: Prototype Developer (U18 Clinical Trial Not Allowed)
NOT-EB-21-018
  • Orofacial Pain, Temporomandibular Joint Disorder & Neurobiology
05/14/2021
01/01/2027
Notice of Intent to Publish a Funding Opportunity Announcement for Blueprint MedTech: Incubator Hubs (U54 Clinical Trial Not Allowed)
NOT-EB-21-019
  • Orofacial Pain, Temporomandibular Joint Disorder & Neurobiology
05/14/2021
01/01/2027
Notice of Intent to Publish a Funding Opportunity Announcement for Blueprint MedTech: Translator (UG3/UH3 Clinical Trial Optional)
NOT-NS-21-057
  • Orofacial Pain, Temporomandibular Joint Disorder & Neurobiology
05/14/2021
01/01/2027
Continuation of Temporary Extension of Eligibility for the NIDCR Dual Degree Dentist Scientist Pathway to Independence Award (K99/R00) During the COVID-19 Pandemic
NOT-DE-21-003
  • Career Development
  • Research Training & Fellowships
04/23/2021
01/01/2028
RESCINDED - NIDCR Policy on Applications for Investigator-Initiated Clinical Trials
NOT-DE-21-004
  • Behavioral & Social Science
  • Clinical Research & Clinical Trials
04/23/2021
01/01/2028
Notice of Intent to Reissue PAR-18-845 Electronic Nicotine Delivery Systems (ENDS): Basic Mechanisms of Health Effects (R01 - Clinical Trial Not Allowed) and PAR-18-846 (R21 - Clinical Trial Not Allowed) as a Notice of Special Interest (NOSI)
NOT-OD-21-113
  • Oral, Oropharyngeal & Salivary Gland Cancers
04/23/2021
01/01/2028
Notice of Change to PAR-20-238, "Intervention Research to Improve Native American Health (R01 Clinical Trial Optional)"
NOT-DA-21-037
  • Oral Health Disparities Research
04/21/2021
01/01/2028
Notice of Intent to Publish a Funding Opportunity Announcement for Research Opportunity Announcement for the Data Generation Projects of the NIH Bridge to Artificial Intelligence (Bridge2AI) Program (OT2)
NOT-RM-21-022
  • Bioinformatics, Computational Biology & Data Science
  • Common Fund Programs
04/08/2021
07/11/2021
Notice of Intent to Reissue PAR-18-847 Electronic Nicotine Delivery Systems (ENDS): Population, Clinical and Applied Prevention Research (R01- Clinical Trial Optional) and PAR-18-848 (R21 - Clinical Trial Optional) as a Notice of Special Interest (NOSI)
NOT-OD-21-114
  • Oral, Oropharyngeal & Salivary Gland Cancers
04/23/2021
01/01/2028
Notice of Special Interest (NOSI): Administrative Supplement for Providing Technical and Business Assistance (TABA) Funding to SBIR/STTR Awardees (Admin Supp)
NOT-OD-21-062
  • Small Business (SBIR/STTR)
03/22/2021
10/08/2023
Notice of Clarification of Resubmission Due dates for RFA-RM-21-012, “Pilot Projects Investigating Understudied G Protein-Coupled Receptors...
NOT-RM-21-024
  • Common Fund Programs
04/13/2021
07/15/2021
Notice of Intent to Publish a Funding Opportunity Announcement for NIH Bridge2AI Integration, Dissemination, and Evaluation
NOT-RM-21-021
  • Bioinformatics, Computational Biology & Data Science
  • Common Fund Programs
04/08/2021
07/11/2021
HEAL Initiative: Planning Studies for Initial Analgesic Development [Small Molecules and Biologics] (R61 Clinical Trial Not Allowed)
RFA-NS-21-029
  • Orofacial Pain, Temporomandibular Joint Disorder & Neurobiology
06/08/2021
10/11/2023
Integration, Dissemination, and Evaluation (BRIDGE) Center for the NIH Bridge to Artificial Intelligence (Bridge2AI) Program (U54 Clinical Trial Not Allowed)
RFA-RM-21-023
  • Common Fund Programs
06/08/2021
08/21/2021
Back to top

Previous Issues

2025
Spring 2025
2024
Winter 2024
Fall 2024
Summer 2024
Spring 2024
2023
Winter 2023
Fall 2023
Summer 2023
2022
Winter 2022
Last Reviewed
June 2021
NIH
  • Home
  • Web Policies
  • Privacy
  • Contact Us
  • Freedom of Information Act
  • No Fear Act
  • Office of Inspector General
  • HHS Vulnerability Disclosure
  • Employee Intranet - Staff Only
Back to top